
شفاآنلاین »سلامت» بر اساس یک مطالعه طولی که امروز در مجموعه مقالات آکادمی ملی علوم منتشر شد، در طول پیری، مردان در مقایسه با زنان، کاهش حجم بیشتری را در مناطق بیشتری از مغز تجربه میکنند. نویسندگان معتقدند این بدان معناست که تغییرات مغزی مرتبط با سن توضیح نمیدهد که چرا زنان بیشتر از مردان به بیماری آلزایمر مبتلا میشوند.
به گزارش شفاآنلاین فیونا کامفور، متخصص روانشناسی بالینی در دانشگاه سیدنی استرالیا، میگوید: واقعا مهم است که بفهمیم در مغز سالم چه اتفاقی میافتد تا بتوانیم بهتر بفهمیم وقتی افراد به این بیماریهای عصبی مبتلا میشوند، چه اتفاقی میافتد. او میافزاید: این مطالعه به درک دانشمندان از پیری معمول مغز میافزاید.
زنان تقریبا دو برابر مردان به بیماری آلزایمر مبتلا میشوند و پیری بزرگترین عامل خطر برای این بیماری است. این موضوع باعث شده است که تحقیقاتی در مورد تفاوتهای جنسیتی مرتبط با سن در مغز انجام شود. آن راوندال، دانشجوی دکترا در دانشگاه اسلو و یکی از نویسندگان این مقاله، میگوید: اگر مغز زنان بیشتر تحلیل رفته باشد، این میتواند به توضیح شیوع بالاتر آلزایمر در آنها کمک کند.
راوندال اضافه میکند که تحقیقات قبلی که تفاوتهای جنسیتی در پیری مغز را بررسی میکردند، نتایج متفاوتی را نشان دادهاند. چندین مطالعه نشان دادهاند که مردان در مقایسه با زنان، کاهش بیشتری در کل ماده خاکستری و اندازه هیپوکامپ را تجربه میکنند، در حالی که سایر تحقیقات، کاهش شدیدتر ماده خاکستری در زنان را گزارش کردهاند.
اسکن مغز
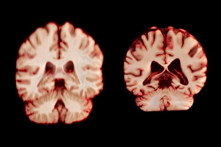
جدیدترین مطالعه شامل بیش از ۱۲ هزار و ۵۰۰ اسکن مغزی تصویربرداری تشدید مغناطیسی (MRI) از ۴۷۲۶ نفر بود که حداقل دو اسکن برای هر نفر، با فاصله متوسط سه سال انجام شده بود که به بیماری آلزایمر یا هرگونه اختلال شناختی مبتلا نبودند و به عنوان شرکتکننده کنترل در ۱۴ مجموعه داده بزرگتر قرار داشتند. محققان با بررسی عواملی از جمله ضخامت ماده خاکستری و اندازه نواحی مرتبط با بیماری آلزایمر، مانند هیپوکامپ که برای حافظه ضروری است، نحوه تغییر ساختار مغز افراد را در طول زمان مقایسه کردند.
به طور کلی، مردان در مقایسه با زنان، کاهش حجم بیشتری را در مناطق بیشتری از مغز تجربه کردند. به عنوان مثال، قشر پس مرکزی که مسئول پردازش احساسات لامسه، درد و دما و همچنین موقعیت و حرکات بدن است، در مردان سالانه ۲.۰ درصد و در زنان سالانه ۱.۲ درصد کاهش یافت.
کامفور میگوید نتایج نشان میدهد که مردان سریعتر از زنان پیر میشوند. همچنین امید به زندگی در مردان کمتر است.
ایمی برادتمن، محقق بالینی در حوزه سلامت شناختی در دانشگاه موناش در ملبورن استرالیا، میگوید اگر این تغییرات نقشی در ابتلا به بیماری آلزایمر داشتند، این مطالعه نشان میداد که زنان در نواحی مرتبط با این بیماری، مانند هیپوکامپ که در حافظه نقش دارند، کاهش بیشتری را تجربه میکنند.
راوندال میگوید نتایج به توضیحات احتمالی دیگری برای تفاوتهای جنسیتی در شیوع بیماری آلزایمر، مانند تفاوت در بقا یا آسیبپذیری در برابر بیماری اشاره دارد.
کامفور میگوید اینکه به نظر نمیرسد تفاوتهای جنسیتی در حجم مغز نقشی در این بیماری داشته باشد، کاملا تعجبآور نیست، زیرا بیماریهای زوال عصبی پیچیده هستند. درک این اختلالات نیازمند مطالعات طولی شامل افراد مبتلا به آلزایمر است تا نحوه تغییر مغز آنها در طول زمان مقایسه شود. او میافزاید: بعید است که صرفا نگاه کردن به تغییرات مرتبط با سن در آتروفی مغز، پیچیدگیهای پشت آن را توضیح دهد.
بیماری پیچیده
برودتمن میگوید اگرچه این مطالعه قوی است، اما تحقیقات بیشتر با مجموعه دادههای متنوعتری مورد نیاز است. به عنوان مثال، افرادی که در این مطالعه شرکت داشتند، سطح تحصیلات بالایی داشتند که یک عامل محافظتی در برابر بیماری آلزایمر است، به این معنی که آنها به طور کامل نماینده جمعیت عمومی نبودند. مجموعه دادهها همچنین فاقد اطلاعاتی در مورد سایر عواملی بود که بر خطر ابتلا به بیماری آلزایمر در فرد تأثیر میگذارند، مانند قومیت و سنی که زنان یائسگی را تجربه میکنند.
نویسندگان میگویند وقتی تحلیل خود را بر اساس سطح تحصیلات تنظیم کردند، برخی از بخشهای مغز مردان دیگر کاهش سریعتری نسبت به زنان نشان ندادند. وقتی آنها مردان و زنانی را که پیشبینی میشد به مدت یکسانی زندگی کنند، به جای مردان همسن، مقایسه کردند، حجم مغز دو گروه با نرخهای مشابهی کاهش یافت.